Get Barry to 18 bags of Immunotherapy
Started 2 yrs ago
Open end-date
About This Campaign

Urgent Cancer Treatment Appeal.
I’m fundraising for my dad, Reverend Barry Fourie (73 years old) from Cannon Rocks in the Eastern Cape. My Dad is a devoted servant of the Lord. He has dedicated his life to spreading the Gospel, serving the Kingdom, helping so many people in need and has enormous compassion and love for every person who has crossed his path.
In June this year, my dad visited us in Stellenbosch to marry me and my husband, Leonard. Upon arrival we noticed he wasn’t well.
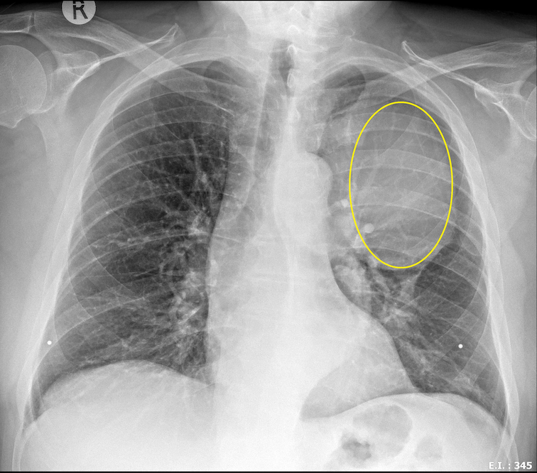
After intensive tests, scans and a huge operation to remove a tumour (15 x 10 x 10cm) he was diagnosed with a rare and aggressive cancer, called, Myofibroblastic Sarcoma. After more intensive tests and consultations with his oncologist and medical team, a specialized targeted therapy treatment has been recommended called immunotherapy.
What makes this campaign unique and urgent is that while awaiting treatment a new sarcoma (2 x 3 x 3 cm) has been identified on his latest CT scan, 2 months post operation. Importa...
Donations
Campaign Updates
Make Your Donation
Kindness can transform the world around us. Amazing things happen when people come together! Make a donation to this cause, share it with people you know, and you may ignite the generosity in others.







